Before / After

Daniel had severely broken down teeth that could not be saved. He decided to have all his teeth removed and a full upper denture placed the same day (immediate denture). He whitened his lower teeth previously to match his new denture.

Before / After

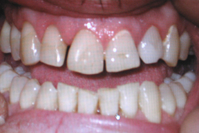
Jerry hadn't been to the dentist in over 15 years. He suffered from rampant decay on almost every tooth. We did some bonding on his upper teeth and now after being caries free, he is about to go through orthodontics to straighten out his teeth.

Before / After

Mary was not happy with her teeth and opted to do porcelain veneers.

Before / After

Taylor chipped his left front tooth from hockey and we fixed it with white bonding/composite material the same day. He went back to hockey practice later that day! |